Blog
Benefits of early care: no dental trauma and beautiful teeth during adolescents! Free exams…No referrals needed… Competitive fees and family-friendly payment plans… Work with all insurance companies… Early detection …
Benefits of early care at Lenk Orthodontics: prevented the need of extractions, ensured the eruption of all teeth, established symmetry of the bite, improved jaw function, and produced teeth …
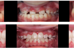
This is a great example of how Dr. Lenk can not only move teeth to make them look better, but can save a family $12,000 of restorative fees to …
Although Dr. Lenk has the education and experience to fix problems like this, IF DR LENK HAD SEEN THIS PATIENT EARLY SHE COULD HAVE PROVIDED RECOMMENDATIONS TO PREVENT YEARS …
PROBLEMS CAUGHT EARLY CAN PREVENT EVEN BIGGER PROBLEMS: FUTURE SURGERY, EXTRACTIONS, AND EXPENSIVE/COMPLICATED ORTHODONTIC CARE! #FREE EXAMS #NO REFERRALS NEEDED #BEST FEES AND PAYMENT PLANS AROUND 540-966-3990 … WWW.LENKBRACES.COM
We were able to provide an alternative plan to address crowding and to preserve the bite. One of the benefits of receiving 4 years of higher education in orthodontics …
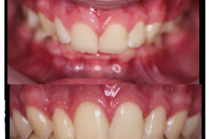
Started with early care to address crossbites. We just finished the second phase of comprehensive care. Long-term studies indicate care is more efficient, effective, and affordable if you can …
At Lenk Orthodontics we care as much about the overall health of teeth as we do how straight they are. Dr. Lenk puts extra money, time, and backache into …