Blog
No referrals needed. Free Exams. Family-friendly fees and payment plans Open 5-days in same location: scheduling made easier! 540-966-3990 …lenkbraces.com…lenkortho@gmail.com
It’s never too late to improve your smile and bite! Free Exams…No Referrals Needed…Amazing Payment Plans Open 5 days at the same location: Scheduling made easy! 540-966-3990…www.lenkbraces.com…lenkortho@gmail.com
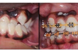
Posted by Lenk Orthodontics on Thursday, January 28, 2021 Lenk Orthodontics isn’t just about teeth: OUR FOCUS IS THE SMILE, BITE, AND OVERALL ESTHETICS…. LOOK AT THE DIFFERENECES IN THIS …
Posted by Lenk Orthodontics on Friday, January 22, 2021
Proud to be a reason this girl’s smile is so bright. Can’t wait to see her pops without braces in a month or so !!! Posted by Lenk Orthodontics …
Posted by Lenk Orthodontics on Thursday, January 21, 2021 Posted by Lenk Orthodontics on Thursday, January 21, 2021
Posted by Lenk Orthodontics on Sunday, January 24, 2021
START CARE IN THE NEXT 6 MONTHS AND RECEIVE A $300 DISCOUNT IF YOU MENTION THIS BLOG POST ! ! ! ! FREE Consultations … NO REFERRALS NEEDED *Open …
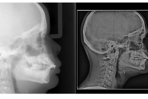
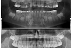
Another great example of why early detection is important!!! Early detection prevented damage to roots, prevented the extraction of teeth, and prevented the need for surgical intervention!! The lower …