Blog
Braces, Treatment, Removal of Braces, Cleaning, Fixed retainer fabrication and delivery, Removable retainer fabrication and delivery…. ALL COMPLETED BEFORE LUNCH! Normally our focus is to address comprehensive, moderate-to-severe orthodontic …
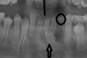
Another example of the importance of early detection…Had I seen her at the age of 7y, I may have been able to prevent… Posted by Misty Lenk on Wednesday, September …
Dr. Lenk is an expert in the growth and development of the head and neck. She doesn’t just move teeth, she can provide care to positively impact JAW GROWTH …
After becoming a dentist, Dr. Lenk received 4 extra years of education to become an expert in the growth and development of the head and neck. Because of her …
THERE IS NO BETTER TIME of the YEAR TO VISIT LENK ORTHODONTICS FACTS Early detection and prevention is a key to normal growth and development. Early detection of problems …
In the middle of the COVID-19 pandemic, financial advisors are telling their clients to refrain from spending. Dr. Lenk normally runs a very tight ship, with the primary goal …
Lenk Orthodontics aims to produce perfect, HEALTHY smiles. The following images show how crowded teeth can negatively impact the overall health of the mouth. If patients present with these …
HAVING STRAIGHT TEETH IS NOT ENOUGH TO GIVE A PERSON AN ATTRACTIVE SMILE. Dr. Lenk spends extra time and money on her patients to ensure they have a BEAUTIFUL …
The health of teeth is as important to our office as the end product ie straight teeth and perfect smile. The first way we try to address this is …